Ciuccio sì, ciuccio no
So che questo post potrebbe suscitare accanite discussioni tra chi e pro e chi è contro l’uso del ciuccio, ho pensato a lungo se scriverlo o meno, ma data l’importanza dell’argomento, non posso non farlo. Non voglio né consigliare, né sconsigliare l’uso del ciuccio, ma esprimermi sui risvolti negativi se l’uso che se ne fa è eccessivo.
Proviamo allora a chiarire con che modalità si può usare il succhiotto senza che diventi dannoso e cioè una abitudine viziata. Si definiscono abitudini viziate tutti i comportamenti su base fisiologica, ma che perseverano nel tempo troppo a lungo fino a modificare la naturale evoluzione delle funzioni di respirare, deglutire, masticare e secondariamente della articolazione del linguaggio. L’uso del ciuccio può diventare una abitudine viziata.
Il ciuccio di per se non fa male al bambino. Nel neonato che deve essere allattato al seno, si consiglia di non inserirne l’uso prima di 1-2 mesi di età in modo che si abitui alla suzione del capezzolo (o tettarella) senza interferenze.
Come tutto quello che riguarda la sfera del neonato, non esistono regole assolute: ci sono neonati che cominciano da subito a ciucciare qualunque cosa (manica del pigiamino, orlo del lenzuolo, angolo del cuscino …) a volte bisogna cedere e concedere il ciuccio prima di quanto pensassimo o anche se non avremmo voluto.
Quando il lattante è adattato ad un buon ritmo di allattamento, non si provoca alcun danno con l’uso del ciuccio che ha funzioni consolatorie e che pare abbia anche un ruolo positivo nella diminuzione della sindrome della morte in culla (SIDS), come confermato dal programma nazionale Genitori Più. Mi sento comunque di suggerire alcune accortezze:
- Limitare il più possibile l’uso del ciuccio al momento del sonno o nei momenti di particolare stanchezza. Infatti la sua funzione consolatoria è utile a conciliare il sonno. Consiglio di farlo sparire il più velocemente possibile dalla vista non appena sveglio. È chiaro che se viene lasciato sotto gli occhi, il bambino sarà invogliato a chiederlo, se invece diventa una abitudine che non appena sveglio il ciuccio “se ne va” questa diventerà una routine.
- Quando sarà il momento di eliminarlo (e secondo me questo dovrebbe avvenire entro i due anni e mezzo), non sarà difficile.
Molti genitori sono convinti che il ciuccio sia assolutamente da evitare e quindi non lo danno ai loro bambini; in parte questo è vero, in fondo c’è già il seno a disposizione. Ma non tutte le donne allattano (non entro in merito ai motivi) e non tutti i neonati sono uguali. I neonati hanno sempre dei comportamenti auto consolatori; il succhiamento del dito è uno di questi e si verifica già in età intrauterina. A questo proposito l’uso del succhiotto si può regolare, mentre l’abitudine del succhiarsi il dito è sempre molto difficile da gestire e poi da eliminare (molti adulti, più di quanti pensiate, continuano a succhiarsi il dito) con conseguenze sull’apparato buccale similari a ciò che accade per il ciuccio.
Ma quali possono essere gli effetti di un uso del ciuccio (o succhiamento del dito o biberon …) sconsiderato e protratto nel tempo?
- La lingua si abitua ad una posizione bassa a riposo, mentre dovrebbe essere alta contro il palato.
- Alterazione del palato che rimane stretto ed alto in quanto la lingua non spinge contro di esso per aiutarlo a crescere.
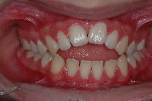
Alterazione del morso: l’arcata superiore normalmente dovrebbe chiudersi sopra alla inferiore per qualche millimetro. In questi casi, invece, rimane un buco che corrisponde alla misura del ciuccio, detto morso aperto. È una alterazione importante, se il ciuccio viene eliminato presto può correggersi da sola con la crescita del massiccio facciale, altrimenti dovrà essere trattata ortodonticamente. - Cattivo sviluppo del massiccio facciale.
- Una brutta bocca: si chiama così, in gergo, una bocca che presenta delle labbra poco competenti (trovate l’articolo qui).
- Un viso disarmonico. Il viso ha tanti muscoli che dovrebbero funzionare in modo sinergico, ma con abitudini viziate ci possono essere delle asimmetrie, ipertonie od ipotonie.
Tutto questo porta conseguenze sulla articolazione dei suoni e sul futuro sviluppo fonetico linguistico del bambino.

Conoscendo tutto questo e con un po’ di attenzione, non dovrebbe essere faticoso abbandonare il ciuccio quando il bimbo cresce, evitando scene come queste.
Se l’uso perdura può invece essere molto difficile. In quel caso può essere utile affrontare apertamente l’argomento e con un po’ di pazienza aiutarlo a fare questo passo.
Esiste sul mercato una vasta proposta di libri per bambini che trattano l’argomento dell’abbandono del ciuccio, anche se credo che possano essere solo un supporto ad un atteggiamento corretto da parte nostra. Ecco quelli che ho trovato più divertenti:
- “Voglio il mio ciuccio!” di Tony Ross, Mondadori.
- “Anch’io voglio il ciuccio!” di Lindgren Barbro. Editore Babalibri.
- “Il ciuccio di Nina”, Naumann-Villemin Christine, Barcilon Marianne. Editore Il Castoro.
- “Battista e il ciuccio” di Uri Orlev. Ed. Motta Junior.







23 commenti
Serena- genitoreinerba.blogspot.it
Beh devo dire che la lista che fai degli effetti collaterali di un uso eccessivo del ciuccio mette un po’ i brividi… E’ da qualche settimana che mia figlia ne fa un uso davvero spropositato (cosa che succede regolarmente con l’apparire di nuovi dentini) e il tuo post mi ha convinta a metterle un freno! Già stamattina le ho proposto di posarlo, spiegandole che da oggi lo useremo solo per le nanne e devo dire che, anche se naturalmente me l’ha chiesto due o tre volte, non ha fatto troppe storie. Se il buon giorno si vede dal mattino…
Aggiungo una piccola cosa quanto all’uso del ciuccio: quando il bambino ce lo chiede è meglio evitare, come invece spesso si fa, di ficcarglielo direttamente in bocca, come se fosse incapace. Secondo me è meglio, appena le capacità motorie del bambino lo permettono, darglielo in mano, all’inizio ci metterà un po’ per azzannarlo, ma molto in fretta imparerà la strada e farà da solo. E cosi’ anche prendere il ciuccio puo’ diventare un modo per crescere!
Ella Mo'
Ciao Serena, non volevo spaventare! L’elenco riporta quello che potrebbe succedere (ma non necessariamente). Ci sono bambini che magari hanno già una predisposizione ad andare incontro a queste problematiche, magari per una conformazione particolare del massiccio facciale. Ci sono alcuni bimbi, invece, che usano molto il ciuccio, ma non hanno conseguenze.
Vedo che però hai colto pienamente il senso del mio post.
E’ possibile fare un uso “sensato” del ciuccio facendolo sparire appena sveglio il bimbo, come abitudine naturale, senza imposizione e senza far sentiree al bambino che è una cosa che ci mette ansia. Se riuscirai in questo, l’uso per dormire non creerà problemi.
Per quel che riguarda l’autonomia motoria del bambino nel prendere il ciuccio, direi che sono d’accordo, ma lo stesso discorso lo allargherei all’uso del bicchiere, delle posate ecc …
In generale, l’autonomia a tavola è proprio uno dei primi passi che un bambino molto piccolo può fare.
E’ molto facile non accorgersi di essere noi stessi la prima causa della dipendenza dei nostri bimbi, mettendogli appunto, il ciuccio in bocca senza che ce lo chiedano, oppure imboccandoli senza lasciare la libertà di sporcarsi, oppure dando il biberon senza far sperimentare il bicchiere …
grazie per lo spunto molto prezioso!
Camilla
Ciao! avfrei una domanda da farti per una questione che inizia a preoccuparmi. Mia figlia non ha mai voluto il ciuccio perché da quando è piccolina “titta,ciuccia” a vuoto… Riproduce il meccanismo del tittare il ciuccio con la sola lingua e lo fa spessissimo, quando è stanca, quando vuole le coccole, quando pensa, quando non fa nulla oltre che tittare!! Oramai ha quasi 4 anni e io e mio marito non sappiamo più come fare a impedire questa cosa, lei stessa ci dice.”è più forte di me!”
Io ho paura che possa comportare dei problemi, anche solo per il fatto che quando fa così produce molta saliva…
Secondo te faccio bene a preoccuparmi? Come posso fare per scongiurare questa cosa?
Mi dico che sarebbe stato meglio il ciuccio, che a un certo punto si può far sparire, ma un’abitudine del genere come gliela tolgo???
Ti ringrazio tantissimo!!
Camilla
Ella
Ciao Camilla, felice di averti qui. Da un lato hai ragione: è molto più facile togliere il ciuccio he l’abitudine del succhiamento di lingua, labbra e dito. Per quel che riguarda il tuo caso specifico, la prima cosa sarebbe capire se questo sta creando problemi di linguaggio, di morso aperto (i denti hanno una fessura?) o di sviluppo del palato. In questo caso andrebbe affrontato il problema per il fatto che un domani potrebbe dare problemi di masticazione e di dentizione. Di per sè non è un grosso problema se non incide su tutti questi aspetti. Per avere un inquadramento obiettivo penso sarebbe bene chiedere una valutazione ad una logopedista che si occupa di questi aspetti, oppure al tuo dentista se collabora con un logopedista.
Camilla
Ti ringrazio tantissimo per la risposta!! Per adesso non mi sembra abbia problemi di linguaggio, masticazione o altro, per fortuna.
spero che magari con il tempo questa abitudine andrà via da sola…
a presto!
ciao
rossella
Ciao a tutte il mio bimbo ha 2 anni il ciuccio oramai lo cerca solo per la nanna però ho notato che da qualche settimana continua a mettere la lingua di lato vicino l interno guancia.Credo sia diventato un vizio lo fa in maniera particolare sopratutto quando si impegna nel far qualche cosa. Non si accorge qyasi più di farlo, non so più cosa fare per evitare che lo faccia anche perché ho paura che incida sul linguaggio. Qualcuno mi può aiutare?
Grazie
Ciao
Ella
Ciao Rossella, non credo sia un problema, è come quando i bimbi tirano fuori la lingua per impegnarsi a fare qualcosa? Perchè pensi che sia un problema? Lo fa anche quando non è concentrato in una attività?
Cristina
Ciao,
La mia bimba è nata con la palatoschisi e tutti i problemi di suzione che ne derivano… Non ha mai amato il ciuccio e nemmeno il dito. I primi mesi ha mangiato con il biberon speciale della Nuk. Due settimane fa al compimento del quarto mese è stata operata a Roma e l’intervento sembra sia andato bene ma dopo qualche giorno di alimentazione con la siringa abbiamo provato a darle il biberon e non ne vuole sapere di ciucciare…. Ora, al di là del fatto che biberon e ciuccio sarebbero comodi per lei e per noi, temo che la mancata suzione comporterà problemi di linguaggio…. Vi è un legame stretto tra le due funzioni ??? La bimba ha da tempo una grande volontà di parlare e a parte i vari gorgheggi da più di un mese già chiama ‘mamma’ …. Con grande stupore di chi la sente, compreso il fratello che pur avendo preso il ciuccio per due anni ha iniziato a parlare molto più tardi
Ella
Certo Cristina che sarebbe un vantaggio per lei, stiamo infatti parlando di una piccola che succhiando può dare al palato una spinta di crescita molto importante. Proprio a Roma, immagino dove la bimba è stata operata, c’è la collega Antonella Cerchiari che si occupa proprio di oralità nel neonato. Ha scritto anche una guida molto interessante che puoi trovare gratuitamente registrandoti sul sito della Nuby. E’ una guida molto interessante e esaustiva, spero che potrà rispondere a tutte le tue domande. In generale il legame tra l’oralità e il linguaggio riguarda principalmente gli aspetti articolatori, più una bocca è competente dal punto di vista motorio (ma soprattutto sensoriale) più il linguaggio risulta ben articolato. Sono comunque generalizzazioni e sono certa che la tua bimba sia già seguita da una equipe che saprà darvi tutte le necessarie indicazioni lungo il suo percorso di crescita. Un abbraccio
Cristina
Grazie cercherò la guida… Spero di poter parlare presto con la professionista di cui mi hai parlato ma per ora abbiamo solo una visita di controllo fra un mese e non abbiamo conosciuto nessuno specialista dell’equipe… Grazie ancora per la risposta spero potrò trovare spunti interessanti sul sito nubi per aiutare la mia bambina
Ella
Sì, tienimi aggiornata o se vuoi scrivimi alla mail info@mammalogopedista.it
Anonimo
sito formidabile e contenuti ancora meglio
Ella
Grazie 🙂
Fiammetta
Ciao, da odontoiatra e mamma concordo quasi su tutto. Vorrei specificare però che in realtà il ciuccio è sempre un interferente nei confronti del fisiologico (e quindi a richiesta ) al l’allattamento al seno. Sicuramente nei primissimi mesi questo tipo di azione risulta più “pericolosa” per il corretto avvio dell’allattamento, ma anche nei mesi successivi l’uso del ciuccio, riducendo la stimolazione della ghiandola mammaria, potrebbe alterare l’equilibrio di regolazione della produzione di latte durante gli scatti di crescita che avvengono anche molto dopo il primo e il secondo mese, uno tra questi l’importante scatto del terzo mese (momento nel quale la percentuale di abbandono dell’allattamento cresce a dismisura…) . Diversi studi e statistiche dimostrano che i neonati che usano interferenti ( perché non ricevono il seno a richiesta) vengono allattati per meno tempo rispetto ai bambini allattati a richiesta. Ciucci, tettarelle e dito inoltre predispongono il bambino a scioperi del lattante improvvisi che spesso vengono mal interpretati come volontà del bambino di staccarsi definitivamente dal seno prima del tempo (momento che di solito nei bambini fisiologicamente allattati al seno non arriva prima dei 2/3/4 anni) oltre che mettere a rischio la salute materna per l’insorgere di ingorghi e problemi mammari dovuti alla brusca sospensione della suzione.
Inoltre aggiungerei che non è l’uso del ciuccio a proteggere dalla sids ma il “meccanismo di suzione ” . Il ciuccio innesca un meccanismo di suzione non fisiologico come quello del capezzolo ma che comunque protegge il bambino statisticamente parlando dalla morte improvvisa del lattante.
le esperienze di mamme che sono riuscite a conciliare l’uso di ciuccio o altri surrogati e allattamento lunghi e felici ci sono eccome, ma volevo comunque precisare queste informazioni per dare una completa e corretta visione della “questione ciuccio”. ..,scusate se mi sono dilungata
Ella
Buongiorno Fiammetta, grazie per il tuo contributo. Concordo con te e grazie per i suggerimenti. Quando scrivo articoli di questo genere (tu sei una clinica e quindi potrai capirmi) devo fare riferimento alla letteratura scientifica e alle linee guida disponibili. Non demonizzo il ciuccio, così come non lo caldeggio, cerco di tenere una posizione neutrale rispetto alla scelta, ma non rispetto all’uso che se ne fa. Perciò i miei consigli si limitano a specificare che è l’uso scorretto o prolungato a creare problemi e non lo strumento in sè. Insomma una informazione oggettiva al di fuori delle mie scelte personali. Però spero che altri genitori portino le loro esperienze. Un caro saluto
Patrizia
Salve ho una bambina di 2 anni e 5 mesi e usa il ciuccio solo x dormire al pomeriggio e la seRa ancoRa nn parla dice solo mamma papà cose xke chi sei cacca vieni dai. …….usa anche il biberon la mattina secondo voi è x questo che nn parla ?xke usa il ciuccio
Ella
Direi che il ciuccio non è la causa. Può essere magari una cosa che non facilita, ma probabilmente la bimba parlerebbe poco anche senza avere usato il ciuccio. Ci sono bimbi che usano poche parole e le consiglio di provare a consultare un logopedista se effettivamente le parole che usa sono meno di 30.
Ida
Scusi dottoressa,
Non è proprio pertinente con il ciuccio, ma mia figlia che ha iniziato le prime pappe da un paio di settimane, continua a mettere la lingua fuori quando si imbocca, come se dovesse succhiare il cucchiaino.
Ha consigli per farle modificare questa abitudine?
La ringrazio anticipatamente Ida
Ella
Quello che descrive è un riflesso innato. Non mi specifica quanti mesi ha la bambina, ma direi che forse può aspettare ancora un pochino èrima di iniziare con le pappe, se possibile.
eleonora
Eccomi qua: quarantuno anni e ho smesso ufficialmente di ciucciare il dito da…non lo dico per vergogna. Tanti esami universitari li ho preparati ciucciando il dito!!! E tuttora ho sempre lo stimolo a farlo. Ho portato l’apparecchio, fisso e mobile, e i denti sono tornati perfetti. Certo, poi ci ho riciucciato sopra…e si sono leggermente rispostati dando al mio viso una leggerissima asimmetria. Provengo da ina famiglia di ciucciatrici folli,entrambe le mie nonne hanno ciucciato il dito fino a età innominabili, e anche mia zia. Mi ha un po’ consolato leggere che, come ha scritto, tanti adulti, più di quanti pensiamo, ciucciano il dito :-). Temendo che le mie binbe si rovinassero il “sorriso” come ho fatto io a loro ho dato il ciuccio. Lo stiamo togliendo adesso.
Ella
Grazie per la tua preziosa testimonianza che potrebbe aiutare molte persone. 🙂
Tiziana
Buona sera vale la stessa cosa per l’allattamento ? Mio figlio ha 4 anni e si addormenta attaccandosi al seno …e non riesco a toglierlo
Influisce sul linguaggio ? Qualche parola non la dice correttamente può essere causato da ciò ? Grazie
Ella
Non lo so, ma se a 4 anni parla male la logopedista va consultata, indipendentemente dal motivo per cui parla male.